New Patients:
(203) 200-7233
Existing Patients:
(203) 746-2459
Request An Appointment
Existing
Patients:
Call
100 State Route 37
New Fairfield, CT 06812
New
Patients:
Call
Home
About Us
Our Office
New Patients
Our Community
Testimonials
Smile Gallery
Dental Videos
Our Doctors
Services
Dental Cleanings
Dental Sealants
Emergency Treatment
Extractions
Fluoride Treatment
Night Guards
Oral Cancer Screening
Oral Exams
Pediatric Dentistry
Periodontal Treatment
Preventative Program
Root Canals
Sleep Apnea
Snoring Appliances
Sports Mouthguards
CEREC
Crowns & Caps
Dental Bridges
Dental Fillings
Dentures
Implant Dentistry
Implant Restorations
Ceramic Crowns
Cosmetic Dentistry
Teeth Whitening
Veneers
CBCT
Digital Impressions
Intraoral Camera
Laser Dentistry
Dental Health
Contact Us
Request an Appointment
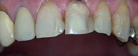
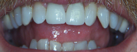
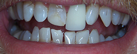
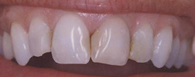
Smile Gallery
Before
After
Before
After
Before
After
Our Office
100 State Route 37
New Fairfield
,
CT
06812
(203) 746-2459
Visit Us Online
Contact Us
Schedule your appointment online or give us a call to get started today.
New Patients: (203) 200-7233
Existing Patients: (203) 746-2459
Request an Appointment
Our Office
100 State Route 37
New Fairfield
,
CT
06812
(203) 746-2459
Visit Us Online
Candlewood Gentle Dental
100 State Route 37, New Fairfield, CT 06812
New Patients: (203) 200-7233
Existing Patients: (203) 746-2459
© 2026 Candlewood Gentle Dental. All Rights Reserved. |
Accessibility Policy
Dentist Marketing
New Fairfield Dentist | Dentist in New Fairfield | General Dentist 06812